
GAZİ ÜNİVERSİTESİ
DİŞ HEKİMLİĞİ FAKÜLTESİ
PERİODONTOLOJİ ANABİLİM DALI

Prof. Dr. GÜLAY TÜTER
DDS, PhD, Dipl. Perio, Professor
DİŞ ETİ HASTALIKLARI UZMANI
PERIODONTOLOGIST
Together with 5th year Dental School Students
Turkish Society of Periodontology visiting Anitkabir, Ankara 2025
EuroPerio 11, Vienna-Austria, 2025
EuroPerio Amsterdam-Hollanda, 2018
World Summit Tour, Nice- Fransa, 2017
Meslekte 25. Yıl Etkinliği,2016
New York State University Meetings, NY-USA, 2017
Basel, İsvicre, 2010
Ege Üniversitesi, İzmir 2012
New York, Amerika Birlesik Devletleri, 2010
Bakü, Azerbaycan, 2009
Cardiff, İngiltere, 2009
Michigan, Amerika Birlesik Devletleri, 2004
Klinik İlgi Alanları
Sistemik hastalığı olan bireylerde (kalp hastalıkları, diabet, kan hastalıkları, yüksek tansiyon vb) cerrahi
olan / olmayan bütün periodontal tedavi uygulamaları
Dişeti çekilmelerinin tedavisi – açığa çıkmış kök yüzeylerinin kapatılması
Estetik periodontal cerrahi uygulamalar
Hamilelik döneminde ağız sağlığı
Dental implantlar çevresinde oluşan enfeksiyonların tedavileri
Sigara – periodontal hastalık
Dişeti büyümelerinin tedavisi
Ağız kokusu teşhis ve tedavi yöntemleri
Dental implantlar
Kemik Yetersizliklerinde Ileri düzey Implant Cerrahisi
Specialized Clinical Fields
Periodontal treatment of medically compromised patients
Periodontal plastic and aesthetic surgery
Smoking and periodontal disease
Peri-implantitis treatment procedures
Treatment of gingival enlargement
Periodontal health in pregnancy
Oral malodor treatment
Dental implants
Advanced Implant Surgical Procedures
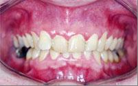
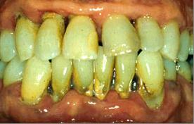
Dişeti Hastalıkları
Dişeti hastalığı nedir?
Dişeti hastalıkları (periodontal hastalıklar) dişin destek dokularında spesifik mikroorganizmalar tarafından oluşturulan ve bu destek dokuların yıkımıyla-kaybıyla sonuçlanan hastalıklardır. Dişeti hastalıkları toplumumuzda oldukça yaygın olarak görülmekte olup her yaş grubunu etkileyebilir. Yapılan değerlendirmeler ülkemizde diş kayıplarının temel nedenleri arasında bu hastalıkların yer aldığını ortaya koymaktadır.
Dişeti hastalığı tipleri nelerdir?
Dişeti hastalıkları enfeksiyonel hastalıklardır. Enfeksiyonun dişeti ile sınırlı kaldığı durumlar gingivitis, dişetine ilaveten diğer destek dokular da (kemik doku gibi) etkileniyorsa periodontitis olarak adlandırılır. Gingivitis ve periodontitisin de farklı tipleri mevcuttur.
Dişeti hastalığının nedenleri nelerdir?
Hastalığın başlıca nedeni içerisinde hastalığa yol açan mikroorganizmaları barındıran mikrobiyal plak tabakasıdır. Bu plak tabakası ağız hijyen uygulamalarının yetersiz kalması sonucunda ağız içindeki tüm yüzeyler ve dişler üzerinde kalmaya devam ederek dişeti hastalığı gelişimine yol açar.
Dişeti hastalığı gelişiminde rol oynayan diğer faktörlerden bazıları;
Diştaşları,
Hatalı yapılmış dolgular, protezler,
Genetik faktörler,
Diabet,
Kan hastalıkları,
Kullanılan bazı ilaçlar,
Hormonal değişiklikler (hamilelik dönemi gibi),
Sigara kullanımı olarak sayılabilir.
Dişeti hastalığının belirtileri nelerdir?
Her yaş grubunda görülebilen hastalık ilk aşamada dişetinin pembe renginde kırmızı hatta mor olarak değişim, ödem ve şekil bozuklukları ile kendini gösterir. Kanama en önemli ve uyarıcı bulgulardan birisidir. Bazı tipleri hariç genel olarak ağrıya yol açmadan ilerler. Yoğun diştaşı ve plak varlığı sonucunda hastalığın seyrine bağlı olarak dişeti büyümesi, dişeti çekilmesi, ağız kokusu ve apseler gelişebilir. İleri aşamalarda dişlerde sallanma, yer değiştirme ve kemik dokudaki yıkıma bağlı olarak diş kayıpları izlenir.
Dişeti hastalıkları neden önemlidir?
Dişeti hastalıkları ağız sağlığının bozulmasına ve diş kayıplarına yol açmaktadır. Ancak dişeti hastalıklarının sadece diş kayıplarıyla sınırlı kalmayıp hastanın genel sağlığı üzerinde de olumsuz etkiler oluşturabileceği bilimsel bir gerçektir. Bu gurup hastalarda görülen en yaygın sistemik hastalık grubunu kalp-damar hastalıkları oluşturmaktadır. Son yıllarda yapılan çalışmalarda dişeti hastalıklarının koroner arter hastalıklarının gelişiminde klasik risk faktörlerine (yaş, sigara kullanımı, yüksek tansiyon ve kolesterol düzeyi gibi) ilave bir risk faktörü olarak rol oynayabileceği belirtilmiştir. Yine araştırmalar dişeti hastalığına sahip hamile bir bireyin erken doğum ve bebeğin doğum ağırlığının normalden daha düşük olma riskine sahip olduğunu göstermiştir. Araştırmalarda dişeti hastalıklarının endokrin sistem ve solunum sistemi üzerinde olumsuz etkisi olabileceği de ortaya konulmuştur. Kısaca görüldüğü gibi ağız sağlığının korunması genel sağlık açısından da önemlidir.
Ne zaman dişeti hastalıkları uzmanına başvurulmalıdır?
Ülkemizde sık görülmesine rağmen yeterince bilinmeyen ya da önemsenmeyen dişeti hastalıklarının her hastalık grubunda olduğu gibi erken teşhisi tedavi başarısı ve şansını artıracaktır. Bu nedenle yukarda bahsedilen hastalık belirtileri konusunda dikkatli olmak, özellikle devam eden dişeti kanamaları varsa vakit geçirmeden bir dişeti hastalıkları uzmanına (periodontist) başvurmak gereklidir. Etkin hijyen uygulamaları ve düzenli hekim kontrolünün sağlığın korunmasında oldukça büyük öneme sahip olduğu unutulmamalıdır.
Tedavi
Tedavi aşamaları etkin hijyen sağlama konusunda hastanın bilgilendirilmesi, diştaşlarının temizliği, gerektiğinde periodontal cerrahi uygulamalar (flep operasyonu, gingivektomi, kemik cerrahisi gibi), hastanın diğer problemlerinin giderilmesi (çürüklerin restorasyonu, protetik restorasyonlar gibi) ve kontrol aşamaları olarak özetlenebilir.
Nasıl Korunabiliriz?
Diş fırçalama ve ara yüz temizliğini içeren etkin hijyen uygulamalarının düzenli olarak hergün yapılması hastalıktan korunmada cok önemlidir. Eğer bir dişeti hastalığı belirtisi mevcutsa bu belirtinin mutlaka önemsenmesi ve vakit kaybetmeden bir dişeti hastalıkları uzmanına başvurulması gereklidir. Hiçbir şikayet olmasa bile enaz yılda bir kez hekim kontrolüne gitmelidir.
Yayınlar
- Taskaldiran, E.S., Tuter, G., Yucel, A.A., Yaman M Non‑surgical periodontal treatment effects on IL‑17 and IL‑35 levels in smokers and non‑smokers with periodontitis.Odontology 2025, (doi.org/10.1007/s10266-025-01207-0)
- Yerebakan M, Tuter G, Bagriacik U, Oruklu N. Evaluation of the anti-inflammatory, antioxidant and wound healing effects of pterostilbene in human gingival fibroblasts in vitro. Odontology 2025 113:1098-1106 (doi:10.1007/s10266-024-01052-7)
- Aslan Isık B., Uzuner FD., Taskaldıran ES., Tuter G., Gulsen A., Güngör K., and Ucuncu N. Evaluation of the Change in Halitosis with the Improvement in Oral Health in Cleft Lip and Palate Patients. The Cleft Palate Craniofacial Journal 2025, 62: 3, 488-496. İB. Zor, G. Tuter, B. Yildirim, B.İ. Yildiz. Oral lichen planus: 2 cases with or without extra oral involvement. Journal of Clinical Periodontology: 2025, Volume 52, Issue S28, (10.1111/jpe.14161)
- B.İ. Yıldız, G. Tuter, İ.B. Zor. Black Hairy Tongue: A case report. Journal of Clinical Periodontology: 2025, Volume 52, Issue S28, (10.1111/jpe.14161)
- Tuter G, Güldürür T. Konak Modülasyon Tedavisinde Güncel Ajanlar: Selenyum ve D Vitamininin Rolü. Journal of International Dental Sciences 2025;11(3):131-141.
- Taskaldiran, E.S., Tuter, G., Yucel, A.A., Yaman M.Effects of smoking on the salivary and GCF levels of IL-17 and IL-35 in periodontitis. Odontology 2024, 112:616-623. https://doi.org/10.1007/s10266-023-00843-8
- Tüter G, Kara G. Evaluation of the effects of periostin on periodontal tissues. Health Academy Kastamonu, 2023, 8 (1); 140-148.
- Güner E, Tüter G. Sklerostin and Tweak'in periodontitis teşhisindeki rolü. Selcuk Dental Journal, 2023, 10(1); 130-133.
- Tüter G, Yildirim AZ, Duman AN, Aliyev B, Atak Yucel A, Oruklu N, Kivrak E. Effects of smoking on the bone alkaline phosphatase in peri-implant crevicular fluid and implant stability quotient around implants before loading. Odontology 2022, 110: 596-604.
- Tüter G, Yerebakan M, Celik B, Kara G. Oral manifestations in SARS-CoV-2 infection. Med Oral Patol Oral Cir Bucal. 2022, Jul 1;27(4):e330-e339. doi:10.4317/medoral.25259.
- Taskaldiran ES, Tüter G, Akcay Gulsen S, Aslan B. Frenotomy Procedure of a Cleft Lip and Palate Case. Journal of Oral Health and Oral Epidemiology, 11 (3), 169-172, 2022.
- Kıvrak E, Bozkurt Doğan S, Sertoğlu E, Ballı U, Kurtiş B, Tüter G. 'Association between serum vitamin D and LL-37 levels in smokers with periodontitis' Clinical Dentistry and Research, 2022,46 (2), 72-81
- Bozkurt Doğan S, Kurtiş MB, Akca G, Tüter G. Evaluation of Periodontopathogenic Bacteria Levels of Peri-Implants in Patients with Type 2 Diabetes Mellitus, ADO Klinik Bilimler Dergisi, 11(3), 295-304, 2022.
- Aliyev B, Pasaoglu O, Pasaoglu H, Gungor K, Guner E, Celik B, Tuter G. ‘’Salivary β-galactosidase, halitosis parameters in periodontal health and disease and their changesafter periodontal treatment‘’, Australian Dental Journal, 2021, 66:377-384.
- Tüter G., Kara G. ‘’Cerrahi olmayan periodontal tedavi‘’, Kitap bölümü, 1. Baskı, Eskişehir Osmangazi Üniversitesi Yayınları, 2021, s. 183-194.
- Tüter G., Guldurur T. ‘’Konak yönlendirme tedavisi‘’, Kitap bölümü, 1. Baskı, Eskişehir Osmangazi Üniversitesi Yayınları, 2021, s. 283-301.
- Tüter G, Yildirim B, Tokozlu Senguven B. ‘’Ligneous periodontitis: A case report with different treatment approaches and eleven years follow up’’, Turkiye Klinikleri Journal of Case Reports, 28 (1), 17-22, 2020.
- Taskaldıran E S, Aliyev B, Tuter G. ‘’Periodontitis hikayesi peri-implantitis gelişimi açısından bir risk faktörü müdür? 3 yıl takipli olgu sunumu’’ Atatürk Üniversitesi Diş Hekimliği Fakültesi Dergisi, Doi:1017567/ataunidfd.631781
- Tüter G., ‘Ligneous Periodontitis’, EC Dental Science 18.9: 2309-2311, 2019.
- Tüter, G.,’’Dental implantlarda yumuşak doku yönetimi’’ Kitap bölümü, 1. Baskı, Ankara, Türkiye Klinikleri, 2019, p.44-50.
- Tüter, G.,’’Cerrahi olmayan periodontal tedavinin sistemik hastalıklar üzerine etkisi’’ Kitap bölümü, 1. Baskı, Ankara, Türkiye Klinikleri, 2019, p.50-6.
- Eroglu Tastan Z, Kurtis B, Altug HA, Sahin S, Tüter G, Baris E. ‘Effect of ozonetherapy on gingival wound healing in pigs:histological and immuno-histochemical analysis’, Journal of Applied Oral Science, Doi: 10.1590/1678-7757-2018-0015.
- Aliyev Bahruz, Tüter Gulay ‘Ağız kokusu, ağız hijyeni ve ağız sağlığı ile demografik, davranışsal ve psikolojik faktörler arasındaki ilişkinin değerlendirilmesi’, Sağlamlıq-Health, 5:187-190; 2017.
- Gultekin SE, Yucel OO, Senguven B, Ozdemir SP, Koch M, Tüter G, Kurtis B. ‘Effect of periodontal inflammation on Collagen IV, Laminin 5, MMP-2 and MMP-9 expression in gingival tissues of diabetic rats’, Austin Dent Sci, 2:2,1013, 2017.
- Alkan Ayhan E, Tüter G, Parlar A, Yücel Al & Kurtiş B. ‘Evaluation of peri-implant crevicular fluid prostaglandin E2 levels in augmented extraction sockets by different biomaterials’, Acta Odontologica Scandinavica, 74:7, 532-538, 2016.
- Özdemir B, Kurtiş B, Tüter G, Şengüven B, Yıldırım B, Özcan G. ‘Osteocalcin and osteonectin expression after double-application of platelet rich plasma in rabbits’, J Istanbul Univ Fac Dent 50:2:1-9, 2016.
- Aliyev B, Tüter G. ‘Halitosis; etiology, diagnose and treatment, Sağlamlıq-Health, 2: 170-174, 2016
- Toyman U, Tüter G, Kurtis B, Kıvrak E, Bozkurt S, Yucel AA, Serdar M. ‘’Evaluation of gingival crevicular fluid levels of tissue plasminogen activator, plasminogen activator inhibitor 2, matrix metalloproteinase-3 and interleukin 1-beta in patients with different periodontal diseases’’ Journal of Periodontal Journal of Periodontal Research, 50: 44-51. (2015).
- Doğan SB, Kurtis MB, Tüter G, Serdar M, Watanabe K, Karakıs S. ‘’Evaluation of clinical parameters and levels of proinflammatory cytokines in the crevicular fluid around dental implants in patients with Type 2 Diabetes Mellitus’’ Int J Oral Maxillofac Implants, 30(5):1119-27, (2015).
- Tüter G. ‘’Effect of immun system and hematologic disorders on the periodontium’’ Türkiye Klinikleri Journal of Periodontology-Special Topics, 1(1); 41-46, (2015).
- Toyman U, Tüter G, Kurtis B, Kıvrak E, Bozkurt S, Yucel AA, Serdar M. ‘’Evaluation of gingival crevicular fluid levels of tissue plasminogen activator, plasminogen activator inhibitor 2, matrix metalloproteinase-3 and interleukin 1-beta in patients with different periodontal diseases’’ Journal of Periodontal Research, doi: 10.1111/jre.12179. (2014).
- Tüter G, Özdemir B, Kurtiş B, Serdar M, Atak Yücel A, Ayhan E. ‘’Short term effects of non-surgical periodontal treatment on gingival crevicular fluid levels of tissue plasminogen activator (t-PA) and plasminogen activator inhibitor 2 (PAI-2) in patients with chronic and aggressive periodontitis’’ Archives of Oral Biology, 58; 391-396, (2013).
- Özdemir PS, Kurtiş B, Tüter G, Bozkurt Ş, Gültekin SE, Sengüven B, Watanabe K, Aydın S. ‘’Effects of low-dose doxycycline and bisphosphonate clodronate on alveolar bone loss and gingival levels of matrix metalloproteinase-9 and interleukin-1 beta in rats with diabetes: A histomorphometric and immunohistochemical study’’ Journal of Periodontology, 83: 1172-1182, (2012).
- Özdemir B, Kurtiş B, Tüter G, Sengüven B, Tokman B, Pınar Özdemir S, Demirel İ, Özcan G. ‘’Double –application of platelet-rich plasma on bone healing in rabbits’’ Med Oral Patol Oral Cir Bucal, 17 (1); 171-177, (2012).
- Tüter G, Serdar M, Kurtiş B, Walker SG, Atak A, Toyman U, Pınar S, Aykan T. ‘’Effects of Scaling and Root Planing and Sub-antimicrobial Dose Doxycycline on Gingival Crevicular Fluid Levels of Matrix Metalloproteinase -8, -13 and Serum Levels of HsCRP in Patients With Chronic Periodontitis’’ Journal of Periodontology, 81; 1132-1139, (2010).
- Tüter, G., Kurtiş, B., Serdar, M. ‘’ Evaluatıon of the Gingival Crevicular Fluid and Serum Levels of High Sensitivity C Reactive Protein in Chronic Periodontitis Patients with or without Coronary Artery Disease’’ Journal of Periodontology, 78; 2319-2324, (2007).
- Kurtiş, B., Tüter, G., Serdar, M., Pınar, S., Demirel, İ., Toyman, U. ‘’ Gingival Crevicular Fluid Matrix Metalloproteinase-8 Levels in Smokers and Non-Smokers with Chronic Periodontitis Following Scaling and Root Planing Accompanied by Systemically Use of Flurbiprofen’’ Journal of Periodontology, 78; 1954-1961, (2007).
- Tüter, G., Kurtiş, B., Serdar, M., Aykan, T., Okyay, K., Yücel, A., Toyman, U., Pınar, S., Cemri, M., Çengel, A., Walker, SG., Golub, LM. ‘’Effects of Scaling and Root Planing and Sub-antimicrobial Dose Doxycycline on Oral and Systemic Biomarkers of Disease in Patients with Both Chronic Periodontitis and Coronary Artery Disease’’, Journal of Clinical Periodontology, 34; 673-681, (2007).
- Kurtiş, B., Tüter, G., Serdar, M., Pınar, S., Demirel, İ., Toyman, U. ‘’Gingival Crevicular Fluid Prostaglandin E2 and Thiobarbituric Acid reactive Substances Levels in Smokers and Non-Smokers with Chronic Periodontitis Following Phase I Periodontal Therapy and Adjunctive use of Flurbiprofen’’, Journal of Periodontology, 78:104-111, (2007).
- Walker, SG., Carnu, O., Tüter, G., Ryan, EM. The Immunoglobulin A1 Proteinase from Streptococcus pneumoniae is Inhibited by Tetracycline Compounds, FEMS Immunology & Medical Microbiology, 48; 218-222, (2006).
- Beklen, A., Tüter, G., Sorsa, T., Hanemaaijer, R., Virtanen, I., Tervahartiala, T., Konttinen, YT. ’’Gingival Tissue and Crevicular Fluid Co-Operation in Adult Periodontitis’’, Journal of Dental Research, 85(1), 59-63, (2006).
- Tüter, G., Kurtiş, B., Serdar, M., Yücel, A., Ayhan, E., Karaduman, B., Özcan, G., ‘’Effects of Phase I Periodontal Treatment on Gingival Crevicular Fluid Levels of Matrix Metalloproteinase - 3 and Tissue Inhibitor of Metalloproteinase – 1’’, Journal of Clinical Periodontology, 32, 1011-1015, (2005).
- Kurtiş, B., Tüter, G., Serdar, M., Akdemir, P., Uygur, C., Fıratlı, E., Bal, B. ‘’Gingival Crevicular Fluid Levels of Monocyte Chemoattractant Protein-1 and Tumour Necrosis Factor-a in Patients with Chronic and Aggressive Periodontitis’’, Journal of Periodontology, 76, 1849-1855, (2005).
- Lee, H.M., Ciancio,S.G., Tüter, G., Ryan, M.E., Komaroff, E., Golub, L.M., “Sub-antimicrobial dose doxycycline (SDD) efficacy as a matrix metalloproteinase (MMP) inhibitor in chronic periodontitis patients is enhanced when combined with an NSAID”, Journal of Periodontology,75, 453-463, (2004).
- Kurtiş, B., Tüter, G., Korkmaz, T., Yücel, A., Serdar, M. ve G. Özcan, “ Clinical Examination and Interleukin 1 beta Levels in Gingival Crevicular Fluid in Patients Treated with Removable Partial dentures,” The International Journal of Prosthodontics,16, 59-63, (2003).
- Tüter, G., Kurtiş, B. ve M. Serdar, “Effects of Phase I Periodontal Treatment on Gingival Crevicular Fluid Levels of Matrix Metalloproteinase-1 (MMP-1) and Tissue Inhibitor of Metalloproteinase-1 (TIMP-1),” Journal of Periodontology, 73, 487-493 (2002).
- Tüter, G., Serdar, M., Yalım, M., Gürhan, İ. ve K. Baloş, “Evaluation of Matrix Metalloproteinase 1 and Tissue Inhibitor of Metalloproteinase 1 Levels in Gingival Fibroblasts of Cyclosporin A-Treated Patients,” Journal of Periodontology, 73, 1273-1278 (2002).
- Tüter, G., Kurtiş, B. ve M. Serdar, “Interleukin-1b and Thiobarbituric Acid Reactive Substances (TBARS) Levels After Phase I Periodontal Therapy in Patients With Chronic Periodontitis,’’ Journal of Periodontology, 72, 883-888 (2001).
- Çetiner, D., Engel, U., Tüter, G. ve M. Yalım, “Clinical Management of Ectodermal Dysplasia with Long Term Follow up: two case reports,” Journal of Clinical Pediatric Dentistry, 25,187-190 (2001).
- Tervahartiala, T., Pirila, E., Ceponis, A., Maisi, P., Salo, T., Tüter, G., Kallio, P., Sirinavas, R., Konttinen, Y. ve T. Sorsa, “The Expression of Collagenolytic Matrix Metalloproteinases (MMP-2, -8, -13 and –14) and Matrilysin (MMP-7) in Adult and Localized Juvenile Periodontitis,” Journal of Dental Research, 79, 1969-1978 (2000).
- Tüter, G., Yalım, M., Gürhan, İ. ve K. Baloş, “The Effects of Attachment Factors on Initial Attachment of Human Periodontal Ligament Fibroblasts on Different Root Surfaces-A Light and Scanning Electron Microscopic study-,” Journal of Oral Science, 42, 33-38 (2000).
- Ünsal, B., Özcan, G., Tüter, G., Kurtiş, B. ve M. Yalım. “Evaluation of Initial Attachment of Human Gingival Fibroblast Cells to Biodegradable Membranes in vitro by Light and Scanning Electron Microscopy,” Journal of Oral Science, 41, 57-60 (1999).
- Tüter, G., Aykan, T., Kurtiş, B., Toyman, U., Pınar, S., Okyay, K. ‘’Koroner arter hastalığına sahip bireylerin ağız sağlığı yönünden değerlendirilmesi’’ Türkiye Klinikleri Dergisi, 14:85-90, (2008).
- Tüter, G., Toyman, U. ‘’Bir vaka nedeniyle lobüler kapiller hemanjiyom’’ Gazi Üniversitesi Dişhekimliği Fakültesi Dergisi, 25(2); 33-38, (2008).
- Kurtiş, B., Tüter, G., Take, G., Sofuoğlu, İP., Yazıcı, C., Erdoğan, D., Bal, B. ‘’ Agresif, kronik periodontitisli ve sağlıklı bireylerin dişeti dokusu örneklerindeki Monosit Kemoatraktan Protein-1 (MCP-1) pozitif hücrelerin immünohistokimyasal olarak incelenmesi’’ Gazi Üniversitesi Dişhekimliği Fakültesi Dergisi, 23(3); 149-155, (2006).
- Tüter G. ‘’Diş ve Dişeti Hastalıkları Yaşamı Tehdit Ediyor!’’, Popüler Bilim Dergisi, Mayıs, (2006).
- Tüter G. ‘’Periodontal Hastalıkların Tedavisinde Antibiyotiklerin Kullanımı’’ Gazi Üniversitesi Dişhekimliği Fakültesi Dergisi, 23, 55-59, (2006).
- Tüter, G., Çetiner, D. ve S.E. Gültekin, “Reaktif Fokal Dişeti Büyümeleri ve Periodontal Durum Arasındaki İlişkinin Değerlendirilmesi:12 Olgunun Uzun Süreli Takibi”, Hacettepe Üniversitesi Dişhekimliği Fakültesi Dergisi, 25, 83-88 (2001).
- Tüter, G., “Periodontal Patogenezin Değerlendirilmesinde Kullanılan Yöntemler”, Gazi Üniversitesi Dişhekimliği Fakültesi Dergisi, 18, 147-153 (2001).
- Tüter, G., “Büyüme Faktörlerinin Periodontal Yara İyileşmesi ve Rejenerasyon Üzerindeki Etkilerinin Değerlendirilmesi”, Gazi Üniversitesi Dişhekimliği Fakültesi Dergisi,17, 37-44 (2000).
- Yalım, M., Tüter, G., Engel, U., Asfuroğlu, Y. ve C. Gülerman, “Östrojen Hormonunun Periodontitise Bağlı Olarak Görülen Kemik Rezorbsiyonu Üzerine Etkileri”, Gazi Üniversitesi Dişhekimliği Fakültesi Dergisi, 16, 1-6 (1999).
- Güngör, K., Tüter, G. ve B. Bal, “Eğitim Düzeyi ile Ağız Sağlığı Arasındaki İlişkinin Değerlendirilmesi”, Gazi Üniversitesi Dişhekimliği Fakültesi Dergisi, 16, 21-25 (1999).
- Yalım, M., Tüter, G., Gürhan, İ., Bodur, A., Çopur, E., Serdar, M. ve İ. Kurt, “Siklosporin A’nın Gingival Fibroblastların Hücreiçi Ca+2 Üzerine Etkisi”, Gazi Üniversitesi Dişhekimliği Fakültesi Dergisi,15, 69-73 (1998).
- Tüter, G., Bodur A., Yalım M. ve S.İ. Gürhan, “Çeşitli Kemik Greft Materyalleri Üzerine İnsan Dişeti Fibroblast Ataşmanının in-vitro Değerlendirilmesi”, Gazi Üniversitesi Dişhekimliği Fakültesi Dergisi, 15, 95-100 (1998).
- Tüter, G., Çetiner, D., Yalım, M. ve S.İ. Gürhan, “Farklı Kimyasal Yapılardaki Ağız Gargaralarının İnsan Dişeti Fibroblastları Üzerine Etkilerinin Karşılaştırılması”, Gazi Üniversitesi Dişhekimliği Fakültesi Dergisi, 15,107-114 (1998).
- Tüter, G., Bal, B., Ayvaz G. ve K. Baloş, “İdiyopatik Kök Rezorpsiyonu -Bir olgu nedeniyle-“, Atatürk Üniversitesi Dişhekimliği Fakültesi Dergisi, 8,54-59 (1998).
- Tüter, G., Engel, U. ve M. Yalım, “Farklı Dolgu Maddeleri Üzerinde İnsan Dişeti Fibroblast Ataşmanının Değerlendirilmesi”, Atatürk Üniversitesi Dişhekimliği Fakültesi Dergisi, 8,19-22 (1998).
Publications
- Taskaldiran, E.S., Tüter, G., Yucel, A.A., Yaman M Non‑surgical periodontal treatment effects on IL‑17 and IL‑35 levels in smokers and non‑smokers with periodontitis.Odontology 2025, (doi.org/10.1007/s10266-025-01207-0)
- Yerebakan M, Tüter G, Bagriacik U, Oruklu N. Evaluation of the anti-inflammatory, antioxidant and wound healing effects of pterostilbene in human gingival fibroblasts in vitro. Odontology 2025 113:1098-1106 (doi:10.1007/s10266-024-01052-7)
- Aslan Isık B., Uzuner FD., Taskaldıran ES., Tüter G., Gulsen A., Güngör K., and Ucuncu N. Evaluation of the Change in Halitosis with the Improvement in Oral Health in Cleft Lip and Palate Patients. The Cleft Palate Craniofacial Journal 2025, 62: 3, 488-496. İB. Zor, G. Tüter, B. Yildirim, B.İ. Yildiz. Oral lichen planus: 2 cases with or without extra oral involvement. Journal of Clinical Periodontology: 2025, Volume 52, Issue S28, (10.1111/jpe.14161)
- B.İ. Yıldız, G. Tüter, İ.B. Zor. Black Hairy Tongue: A case report. Journal of Clinical Periodontology: 2025, Volume 52, Issue S28, (10.1111/jpe.14161)
- Tüter G, Güldürür T. Current Agents In Host Modulation Therapy: The Role of Selenium and Vitamin D. Journal of International Dental Sciences 2025;11(3):131-141.
- Taskaldiran, E.S., Tüter, G., Yucel, A.A., Yaman M.Effects of smoking on the salivary and GCF levels of IL-17 and IL-35 in periodontitis. Odontology 2024, 112:616-623. https://doi.org/10.1007/s10266-023-00843-8
- Tüter G, Kara G. Evaluation of the effects of periostin on periodontal tissues. Health Academy Kastamonu, 2023, 8 (1); 140-148.
- Güner E, Tüter G. The role of sclerostin and tweak in the diagnosis of periodontitis. Selcuk Dental Journal, 2023, 10(1); 130-133.
- Tüter G, Yildirim AZ, Duman AN, Aliyev B, Atak Yucel A, Oruklu N, Kivrak E. Effects of smoking on the bone alkaline phosphatase in peri-implant crevicular fluid and implant stability quotient around implants before loading. Odontology 2022, 110: 596-604.
- Tüter G, Yerebakan M, Celik B, Kara G. Oral manifestations in SARS-CoV-2 infection. Med Oral Patol Oral Cir Bucal. 2022, Jul 1;27(4):e330-e339. doi:10.4317/medoral.25259.
- Taskaldiran ES, Tüter G, Akcay Gulsen S, Aslan B. Frenotomy Procedure of a Cleft Lip and Palate Case. Journal of Oral Health and Oral Epidemiology, 11 (3), 169-172, 2022.
- Kıvrak E, Bozkurt Doğan S, Sertoğlu E, Ballı U, Kurtiş B, Tüter G. 'Association between serum vitamin D and LL-37 levels in smokers with periodontitis' Clinical Dentistry and Research, 2022,46 (2), 72-81
- Bozkurt Doğan S, Kurtiş MB, Akca G, Tüter G. Evaluation of Periodontopathogenic Bacteria Levels of Peri-Implants in Patients with Type 2 Diabetes Mellitus, Journal of ADO Clinical Science, 11(3), 295-304, 2022.
- Aliyev B, Pasaoglu O, Pasaoglu H, Gungor K, Guner E, Celik B, Tuter G. ‘’Salivary β-galactosidase, halitosis parameters in periodontal health and disease and their changesafter periodontal treatment‘’, Australian Dental Journal, 2021, 66:377-384.
- Tüter G., Kara G. ‘’Non-surgical periodontal therapy‘’, Book Chapter, The First Edition, Eskişehir Osmangazi University Publications, 2021, pages 183-194.
- Tüter G., Guldurur T. ‘’Host modulation therapy‘’, Book Chapter, The First Edition, Eskişehir Osmangazi University Publications, 2021, pages 283-301.
- Tüter G, Yildirim B, Tokozlu Senguven B. ‘’Ligneous periodontitis: A case report with different treatment approaches and eleven years follow up’’, Turkiye Klinikleri Journal of Case Reports, 28 (1), 17-22, 2020.
- Taskaldıran E S, Aliyev B, Tüter G. ‘’Is Periodontitis history a risk factor for peri-implantitis progression? A case report with 3 years follow up’’ Atatürk Üniversitesi Diş Hekimliği Fakültesi Dergisi, Doi:1017567/ataunidfd.631781
- Tüter G., ‘Ligneous Periodontitis’, EC Dental Science 18.9: 2309-2311, 2019.
- Tüter G., ‘’Soft tissue management around dental implants’’, Book chapter, The first edition, Ankara, Turkey Clinics, 2019, p. 44-50.
- Tüter G., ‘’Effect of non-surgical periodontal treatment on systemic diseases’’, Book chapter, The first edition, Ankara, Turkey Clinics, 2019, p. 50-9.
- Eroglu Tastan Z, Kurtis B, Altug HA, Sahin S, Tüter G, Baris E. ‘Effect of ozonetherapy on gingival wound healing in pigs:histological and immuno-histochemical analysis’, Journal of Applied Oral Science, Doi: 10.1590/1678-7757-2018-0015.
- Bahruz Aliyev, Tüter Gulay ‘Evaluation of the relationship among halitosis, oral hygine, demography, behaviour and psychology’, Sağlamlıq-Health, 5:187-190; 2017.
- Gultekin SE, Yucel OO, Senguven B, Ozdemir SP, Koch M, Tuter G, Kurtis B. ‘Effect of periodontal inflammation on Collagen IV, Laminin 5, MMP-2 and MMP-9 expression in gingival tissues of diabetic rats’, Austin Dent Sci, 2:2,1013, 2017.
- Alkan Ayhan E, Tüter G, Parlar A, Yücel Al & Kurtiş B. ‘Evaluation of peri-implant crevicular fluid prostaglandin E2 levels in augmented extraction sockets by different biomaterials’, Acta Odontologica Scandinavica, 74:7, 532-538, 2016.
- Özdemir B, Kurtiş B, Tüter G, Şengüven B, Yıldırım B, Özcan G. ‘Osteocalcin and osteonectin expression after double-application of platelet rich plasma in rabbits’, J Istanbul Univ Fac Dent 50:2:1-9, 2016.
- Aliyev B, Tüter G. ‘Halitosis; etiology, diagnose and treatment, Sağlamlıq-Health, 2: 170-174, 2016
- Toyman U, Tüter G, Kurtis B, Kıvrak E, Bozkurt S, Yucel AA, Serdar M. ‘’Evaluation of gingival crevicular fluid levels of tissue plasminogen activator, plasminogen activator inhibitor 2, matrix metalloproteinase-3 and interleukin 1-beta in patients with different periodontal diseases’’ Journal of Periodontal Journal of Periodontal Research, 50: 44-51. (2015).
- Doğan SB, Kurtis MB, Tüter G, Serdar M, Watanabe K, Karakıs S. ‘’Evaluation of clinical parameters and levels of proinflammatory cytokines in the crevicular fluid around dental implants in patients with Type 2 Diabetes Mellitus’’ Int J Oral Maxillofac Implants, 30(5):1119-27, (2015).
- Tüter G. ‘’Effect of immun system and hematologic disorders on the periodontium’’ Türkiye Klinikleri Journal of Periodontology-Special Topics, 1(1); 41-46, (2015).
- Toyman U, Tüter G, Kurtis B, Kıvrak E, Bozkurt S, Yucel AA, Serdar M. ‘’Evaluation of gingival crevicular fluid levels of tissue plasminogen activator, plasminogen activator inhibitor 2, matrix metalloproteinase-3 and interleukin 1-beta in patients with different periodontal diseases’’ Journal of Periodontal Research, doi: 10.1111/jre.12179. (2014).
- Tüter G, Özdemir B, Kurtiş B, Serdar M, Atak Yücel A, Ayhan E. ‘’Short term effects of non-surgical periodontal treatment on gingival crevicular fluid levels of tissue plasminogen activator (t-PA) and plasminogen activator inhibitor 2 (PAI-2) in patients with chronic and aggressive periodontitis’’ Archives of Oral Biology, 58; 391-396, (2013).
- Özdemir PS, Kurtiş B, Tüter G, Bozkurt Ş, Gültekin SE, Sengüven B, Watanabe K, Aydın S. ‘’Effects of low-dose doxycycline and bisphosphonate clodronate on alveolar bone loss and gingival levels of matrix metalloproteinase-9 and interleukin-1 beta in rats with diabetes: A histomorphometric and immunohistochemical study’’ Journal of Periodontology, 83: 1172-1182, (2012).
- Özdemir B, Kurtiş B, Tüter G, Sengüven B, Tokman B, Pınar Özdemir S, Demirel İ, Özcan G. ‘’Double –application of platelet-rich plasma on bone healing in rabbits’’ Med Oral Patol Oral Cir Bucal, 17 (1); 171-177, (2012).
- Tüter G, Serdar M, Kurtiş B, Walker SG, Atak A, Toyman U, Pınar S, Aykan T. ‘’Effects of Scaling and Root Planing and Sub-antimicrobial Dose Doxycycline on Gingival Crevicular Fluid Levels of Matrix Metalloproteinase -8, -13 and Serum Levels of HsCRP in Patients With Chronic Periodontitis’’ Journal of Periodontology, 81; 1132-1139, (2010).
- Tüter, G., Kurtiş, B., Serdar, M. ‘’ Evaluatıon of the Gingival Crevicular Fluid and Serum Levels of High Sensitivity C Reactive Protein in Chronic Periodontitis Patients with or without Coronary Artery Disease’’ Journal of Periodontology, 78; 2319-2324, (2007).
- Kurtiş, B., Tüter, G., Serdar, M., Pınar, S., Demirel, İ., Toyman, U. ‘’ Gingival Crevicular Fluid Matrix Metalloproteinase-8 Levels in Smokers and Non-Smokers with Chronic Periodontitis Following Scaling and Root Planing Accompanied by Systemically Use of Flurbiprofen’’ Journal of Periodontology, 78; 1954-1961, (2007).
- Tüter, G., Kurtiş, B., Serdar, M., Aykan, T., Okyay, K., Yücel, A., Toyman, U., Pınar, S., Cemri, M., Çengel, A., Walker, SG., Golub, LM. ‘’Effects of Scaling and Root Planing and Sub-antimicrobial Dose Doxycycline on Oral and Systemic Biomarkers of Disease in Patients with Both Chronic Periodontitis andC Coronary Artery Disease’’, Journal of Clinical Periodontology, 34; 673-681, (2007).
- Kurtiş, B., Tüter, G., Serdar, M., Pınar, S., Demirel, İ., Toyman, U. ‘’Gingival Crevicular Fluid Prostaglandin E2 and Thiobarbituric Acid reactive Substances Levels in Smokers and Non-Smokers with Chronic Periodontitis Following Phase I Periodontal Therapy and Adjunctive use of Flurbiprofen’’, Journal of Periodontology, 78; 104-111, (2007).
- Walker, SG., Carnu, O., Tüter, G., Ryan, EM. The Immunoglobulin A1 Proteinase from Streptococcus pneumoniae is Inhibited by Tetracycline Compounds, FEMS Immunology & Medical Microbiology, 48; 218-222, (2006).
- Beklen, A., Tüter, G., Sorsa, T., Hanemaaijer, R., Virtanen, I., Tervahartiala, T., Konttinen, YT. ’’Gingival Tissue and Crevicular Fluid Co-Operation in Adult Periodontitis’’, Journal of Dental Research, 85(1), 59-63, (2006).
- Tüter, G., Kurtiş, B., Serdar, M., Yücel, A., Ayhan, E., Karaduman, B., Özcan, G., ‘’Effects of Phase I Periodontal Treatment on Gingival Crevicular Fluid Levels of Matrix Metalloproteinase - 3 and Tissue Inhibitor of Metalloproteinase – 1’’, Journal of Clinical Periodontology, 32, 1011-1015, (2005).
- Kurtiş, B., Tüter, G., Serdar, M., Akdemir, P., Uygur, C., Fıratlı, E., Bal, B. ‘’Gingival Crevicular Fluid Levels of Monocyte Chemoattractant Protein-1 and Tumour Necrosis Factor-a in Patients with Chronic and Aggressive Periodontitis’’, Journal of Periodontology, 76, 1849-1855, (2005).
- Lee, H.M., Ciancio,S.G., Tüter, G., Ryan, M.E., Komaroff, E., Golub, L.M., “Sub-antimicrobial dose doxycycline (SDD) efficacy as a matrix metalloproteinase (MMP) inhibitor in chronic periodontitis patients is enhanced when combined with an NSAID”, Journal of Periodontology,75, 453-463, (2004).
- Kurtiş, B., Tüter, G., Korkmaz, T., Yücel, A., Serdar, M. and G. Özcan, “ Clinical Examination and Interleukin 1 beta Levels in Gingival Crevicular Fluid in Patients Treated with Removable Partial dentures,” The International Journal of Prosthodontics,16, 59-63, (2003).
- Tüter, G., Serdar, M., Yalım, M., Gürhan, İ. and K. Baloş, “Evaluation of Matrix Metalloproteinase 1 and Tissue Inhibitor of Metalloproteinase 1 Levels in Gingival Fibroblasts of Cyclosporin A-Treated Patients,” Journal of Periodontology, 73, 1273-1278 (2002).
- Tüter, G., Kurtiş, B. and M. Serdar, “Effects of Phase I Periodontal Treatment on Gingival Crevicular Fluid Levels of Matrix Metalloproteinase-1 (MMP-1) and Tissue Inhibitor of Metalloproteinase-1 (TIMP-1),” Journal of Periodontology, 73, 487-493 (2002).
- Tüter, G., Kurtiş, B. and M. Serdar, “Interleukin-1b and Thiobarbituric Acid Reactive Substances (TBARS) Levels After Phase I Periodontal Therapy in Patients With Chronic Periodontitis,’’ Journal of Periodontology, 72, 883-888 (2001).
- Çetiner, D., Engel, U., Tüter, G. and M. Yalım, “Clinical Management of Ectodermal Dysplasia with Long Term Follow up: two case reports,” Journal of Clinical Pediatric Dentistry, 25,187-190 (2001).
- Tüter, G., Yalım, M., Gürhan, İ. and K. Baloş, “The Effects of Attachment Factors on Initial Attachment of Human Periodontal Ligament Fibroblasts on Different Root Surfaces-A Light and Scanning Electron Microscopic study-,” Journal of Oral Science, 42, 33-38 (2000).
- Tervahartiala, T., Pirila, E., Ceponis, A., Maisi, P., Salo, T., Tüter, G., Kallio, P., Sirinavas, R., Konttinen, Y. and T. Sorsa, “The Expression of Collagenolytic Matrix Metalloproteinases (MMP-2, -8, -13 and –14) and Matrilysin (MMP-7) in Adult and Localized Juvenile Periodontitis,” Journal of Dental Research, 79, 1969-1978 (2000).
- Ünsal, B., Özcan, G., Tüter, G., Kurtiş, B. and M. Yalım. “Evaluation of Initial Attachment of Human Gingival Fibroblast Cells to Biodegradable Membranes in vitro by Light and Scanning Electron Microscopy,” Journal of Oral Science, 41, 57-60 (1999).
- Tüter, G., Aykan, T., Kurtiş, B., Toyman, U., Pınar, S., Okyay, K. ‘’Evaluation of the oral health status in patients with coronary artery disease’’, Journal of Dental Science, 14:85-90, (2008).
- Tüter, G., Toyman, U. ‘’Lobular capillary hemangioma: A case report’’, The Journal of Gazi University Faculty of Dentistry, 25(2), 33-38, (2008).
- Kurtiş, B., Tüter, G., Take, G., Sofuoğlu, İP., Yazıcı, C., Erdoğan, D., Bal, B. ‘’ Immunohistochemical investigation of Monocyte Chemoattractant Protein-1 (MCP-1) positive cells in gingival tissue samples of aggressive, chronic periodontitis and healthy control patients’’, The Journal of Gazi University Faculty of Dentistry, 23(3), 149-155, (2006).
- Tüter, G. ‘’The Influence of Periodontitis on Systemic Condition’’, Journal of Popular Science, May, (2006).
- Tuter G. ‘’Use of Antibiotics in Periodontal Diseases Therapy’’, The Journal of Gazi University Faculty of Dentistry, 23, 55-59, (2006).
- Tuter, G. Methods for evaluating periodontal pathogenesis. The Journal of Gazi University Faculty of Dentistry, 18, 147-153 (2001).
- Tuter, G., Cetiner, D., Gultekin, SE. Evaluation of the Relationship Between Reactive Focal Gingival Hyperplasias and Periodontal Status: To Follow up 12 Cases for a Long Term. The Journal of Hacettepe University Faculty of Dentistry, 25, 83-88 (2001).
- Tuter, G.: The evaluation of the effects of growth factors on periodontal regeneration and periodontal wound healing. The Journal of Gazi University Faculty of Dentistry. 17:1,37-44 (2000).
- Yalim, M., Tuter, G., Engel, M., Asfuroğlu, Y., Gulerman, C.: The Evaluation of IL- 4 and IL-6 Levels in Menopose. The Journal of Gazi University Faculty of Dentistry, 16:3,1-6 (1999).
- Gungor, K., Tuter, G., Bal, B.:The relationship between educational status and oral health among a group of dental patients. The Journal of Gazi University Faculty of Dentistry. 16:1, 21-25 (1999).
- Yalim, M., Tuter, G., Gurhan, İ., Bodur, A., Çopur, E., Serdar, M., Kurt, İ.: Effects of Cyclosporine-A on Intercellular Ca 2+ in Gingival Fibroblasts. The Journal of Gazi University Faculty of Dentistry. 15:(1,2,3),69-73 (1998).
- Tuter, G., Çetiner, D., Yalim, M., Gurhan, İ.: The Evaluation of the Effects of Various chemical Agents on Human Gingival Fibroblasts. The Journal of Gazi University Faculty of Dentistry. 15:(1,2,3),107-114 (1998).
- Tuter, G., Engel, M., Yalim, M.: The Evaluation of the Human Gingival Fibroblasts Attachment on Different Filling Materials. Journal of Atatürk University Faculty of Dentistry, 8:1,19-22 (1998).
- Tuter, G., Bodur, A., Yalim, M., Gurhan I.: Evaluation of Human Gingival Fibroblasts Attachment on Various Graft Materials in vitro. The Journal of Gazi University Faculty of Dentistry. 15:(1,2,3),95-100 (1998).
- Tuter, G., Bal, B., Ayvaz, G., Baloş, K.: Idiopathic Root Resorption. A Case Report. Journal of Atatürk University Faculty of Dentistry, Journal of Atatürk University Faculty of Dentistry, 8:1,54-59 (1998).
Proje Destekleri
- Gazi Üniversitesi Bilimsel Araştırma Fonu.
1995-2017 yılları arasında çoğunluğu Proje Yöneticisi olarak toplam 28 Proje desteği.
- TÜBİTAK Bilimsel Araştırma Desteği.
2010 proje desteği.
- Fulbright (Türkiye-Amerika Birleşik Devletleri Kültürel Mübadele Komisyonu),
2001.
Proje Yöneticisi olarak proje desteği.
- The Center for International Mobility (CIMO), 1999.
Proje Yöneticisi olarak proje desteği.
- a) The Center for International Mobility (CIMO),
b) The Academy of Finland, the Technology Development Center (TEKES),
c) The Finnish Dental Society, the Finnish Woman Dentists’ Association, 1999-2000.
Araştırmacı olarak proje destekleri. - Eczacıbaşı, Procter&Gamble Ağız ve Diş Sağlığı Bilimsel Araştırma ve Ödül
Fonu, 1998.
Proje Yöneticisi olarak proje desteği.
- Eczacıbaşı, Procter&Gamble Ağız ve Diş Sağlığı Bilimsel Araştırma ve Ödül
Fonu, 1995.
Araştırmacı olarak proje desteği.
Project Supports
- Gazi University Research Foundation’s Scientific Research Project Support.
Total of 28 project supports from 1995 to 2017, mostly as Project Manager
- TUBITAK Research Support
2010, project support.
- The J. William Fulbright Foreign Scholarship Board Project Support, 2002.
As Project Manager
- Centre for International Mobility (CIMO) Project Support via Finish Government,
1999.
As Project Manager
a) The Center for International Mobility (CIMO),
b) The Academy of Finland, the Technology Development Center (TEKES),
c) The Finnish Dental Society, the Finnish Woman Dentists’ Association, Project Supports, 1999-2000.
As Researcher
- Eczacıbaşı-Procter & Gamble Research Foundation’s Scientific Research Project Support, 1998.
As Project Manager - Eczacıbaşı - Procter & Gamble Research Foundation’s Scientific Research Project Support, 1995. As Researcher
Ödüller
- Oral Diseases, Reviewer Award, 2019
- Oral Diseases, Reviewer Award, 2018
- Gazi Üniversitesi Rektörlüğü Atıf Ödülü, 2017
- TÜBİTAK Uluslararası Yayın Ödülleri (SCI Kapsamındaki tüm yayınlar için-2000/2017)
- Gazi Üniversitesi Rektörlüğü Uluslararası Yayın Ödülleri (SCI Kapsamındaki tüm yayınlar için-2000/2017)
- Türk Periodontoloji Derneği Uluslararası Yayın Ödülleri (SCI Kapsamındaki tüm yayınlar için-2000/2017)
- Colgate Ödülü 2015
- Gazi Üniversitesi Rektörlüğü Uluslararası Yayın Ödülleri (SCI Kapsamındaki tüm yayınlar için-2000/2014)
- Türk Periodontoloji Derneği Uluslararası Yayın Ödülleri (SCI Kapsamındaki tüm yayınlar için-2000/2014)
- Gazi Üniversitesi Rektörlüğü Atıf Ödülü, 2011.
- Gazi Üniversitesi Rektörlüğü Atıf Ödülü, 2010.
- Gazi Üniversitesi Rektörlüğü Atıf Ödülü, 2009.
- Gazi Üniversitesi Rektörlüğü Atıf Ödülü, 2008.
- Gazi Üniversitesi Rektörlüğü Atıf Ödülü, 2007.
- TÜBİTAK Uluslararası Yayın Ödülleri (SCI Kapsamındaki tüm yayınlar için-2000/2014)
- Eczacıbaşı, Procter&Gamble Ağız ve Diş Sağlığı Bilimsel Araştırma Ödülü, 1998.
- Banat Periodontoloji Bilimsel Araştırma Ödülü, 1998.
- Best Poster Award of The Fourth International Symposium on Biomedical Science and Technology (BIOMED), 1997.
- Eczacıbaşı, Procter&Gamble Ağız ve Diş Sağlığı Bilimsel Araştırma Ödülü, 1995.
Burslar
- Gazi Üniversitesi ve Michigan State University arasındaki değişim programı anlaşması ve desteği ile bilimsel çalışma dönemi, 2004: Michigan State University, East Lansing, USA ve Center for Craniofacial Regeneration and Department of Periodontics, Prevention, and Geratrics, School of Dentistry, University of Michigan, 1011 North University Avenue, Ann Arbor, MI, USA.
- Fulbright (Türkiye-Amerika Birleşik Devletleri Kültürel Mübadele Komisyonu) tarafından desteklenmiş bilimsel çalışma dönemi, State University of New York School of Dental Medicine Oral Biology and Pathology Stony Brook-New York, USA, 2002.
- The Center for International Mobility (CIMO) tarafından desteklenmiş bilimsel çalışma dönemi, University of Helsinki Institute of Dentistry Department of Periodontology Helsinki Finlandiya, 1999 – 2000.
Awards Recived
- Oral Diseases, Reviewer Award, 2019
- Oral Diseases, Reviewer Award, 2018
- Gazi University Citation Award, 2017
- The Scientific and Technological Research Council of Turkiye (TUBITAK) International Publication Awards (2000-2017)
- Gazi University International Publication Awards (2000-2017)
- Turkish Society of Periodontology, International Publication Awards (2000-2017)
- Colgate Award, 2015
- The Scientific and Technological Research Council of Turkiye (TUBITAK) International Publication Awards (2000-2014)
- Gazi University International Publication Awards (2000-2014)
- Gazi University Citation Award, 2011
- Gazi University Citation Award, 2010
- Gazi University Citation Award, 2009
- Gazi University Citation Award, 2008
- Gazi University Citation Award, 2007
- Turkish Society of Periodontology, International Publication Awards (2000-2011)
- Turkish Society of Periodontology, XXVIII th Scientific Meeting, Banat Scientific Research Award in 1998
- Eczacıbaşı - Procter & Gamble Research Foundation’s Scientific Research Project Support Award in 1998
- The Best Poster Award of Biomed in 4thInternational Symposium on Biomedical Science and Technology, 1997
- Eczacıbaşı - Procter & Gamble Research Foundation’s Scientific Research Project Support Award in 1996
Scholarships :
- Working period at Michigan State University in 2004 with an exchange programme accepted between Gazi University and Michigan State University (Michigan State University, East Lansing, USA and Center for Craniofacial Regeneration and Department of Periodontics, Prevention, and Geratrics, School of Dentistry, University of Michigan, 1011 North University Avenue, Ann Arbor, MI, USA).
- The J. William Fulbright Foreign Scholarship Board project support (Working period at State University of New York School of Dental Medicine Oral Biology and Pathology Stony Brook-New York, USA, 2002-2003).
- Centre for International Mobility (CIMO) project support (Working period at University of Helsinki Instıtute of Dentistry Department of Periodontology Helsinki-Finland 1999-2000).
Doğum yeri
Antalya
Öğrenim durumu
Yüksek Lisans Diş Hekimliği Fakültesi Gazi Üniversitesi (Dönem birincisi olarak)
Doktora Periodontoloji Gazi Üniversitesi
Doçentlik Periodontoloji Gazi Üniversitesi
Profesörlük Periodontoloji Gazi Üniversitesi
Görevler
Arş.Gör. Gazi Üniversitesi Diş Hekimliği Fakültesi Periodontoloji AD
Dr.Arş.Gör. Gazi Üniversitesi Diş Hekimliği Fakültesi Periodontoloji AD
Doç.Dr. Gazi Üniversitesi Diş Hekimliği Fakültesi Periodontoloji AD
Prof. Dr. Gazi Üniversitesi Diş Hekimliği Fakültesi Periodontoloji
Research Assistant University of Helsinki Institute of Dentistry Department of Periodontology Helsinki-FINLAND
Research Assistant State University of New York School of Dental Medicine Oral Biology and Pathology Stony Brook-New York USA
Visiting Professor Michigan State University, East Lansing, USA ve Center for Craniofacial Regeneration and Department of Periodontics, Prevention, and Geratrics, School of Dentistry, University of Michigan, 1011 North University Avenue, Ann Arbor, MI, USA
Invited lecturer, (Erasmus programme), Cardiff University Faculty of Dentistry Department of Periodontology, Cardiff, UNITED KINGDOM
Visiting Professor, Azerbaijan Medical University Department of Dentistry, Baku, AZERBAIJAN
Visiting Professor, Hassan II University Faculty of Dentistry, Casablanca, MOROCCO,
Invited lecturer, (Erasmus programme), Foggia University Faculty of Dentistry Department of Periodontology, ITALY
Bilimsel Kuruluşlara Üyelikler
Türk Periodontoloji Derneği, International Academy for Dental Research, European Federation of Periodontology, Fulbright Derneği Türkiye Dalı
Yabanci Diller
İngilizce
Birthplace
Antalya/TURKEY
Education
Undergraduate Degree: Faculty of Dentistry, Gazi University, Ankara, Turkey (Graduated as the top of class)
PhD Degree: Department of Periodontology, Faculty of Dentistry, Gazi University, Ankara, Turkey
Associate Professor Degree: Department of Periodontology, Faculty of Dentistry, Gazi University , Ankara, Turkey
Professor Degree: Department of Periodontology, Faculty of Dentistry, Gazi University , Ankara, Turkey
Summary of qualifications
YArş.Gör. Gazi Üniversitesi Diş Hekimliği Fakültesi Periodontoloji AD
Dr.Arş.Gör. Gazi Üniversitesi Diş Hekimliği Fakültesi Periodontoloji AD
Doç.Dr. Gazi Üniversitesi Diş Hekimliği Fakültesi Periodontoloji AD
Prof. Dr. Gazi Üniversitesi Diş Hekimliği Fakültesi Periodontoloji
Research Assistant University of Helsinki Institute of Dentistry Department of Periodontology Helsinki-FINLAND
Research Assistant State University of New York School of Dental Medicine Oral Biology and Pathology Stony Brook-New York USA
Visiting Professor Michigan State University, East Lansing, USA ve Center for Craniofacial Regeneration and Department of Periodontics, Prevention, and Geratrics, School of Dentistry, University of Michigan, 1011 North University Avenue, Ann Arbor, MI, USA
Invated lecturer, (Erasmus programme), Cardiff University Faculty of Dentistry Department of Periodontology, Cardiff, UNITED KINGDOM
Visiting Professor, Azerbaijan Medical University Department of Dentistry, Baku, AZERBAIJAN
Visiting Professor, Hassan II University Faculty of Dentistry, Casablanca, MOROCCO,
Invited lecturer, (Erasmus programme), Foggia University Faculty of Dentistry Department of Periodontology, ITALY
Professional memberships
Turkish Society of Periodontology, International Associaton for Dental Research, European Federation of Periodontology, Turkiye Fulbright Branch
Foreign Languages
English
İletişim / Contact info
- Adres: Gazi Üniversitesi Diş Hekimliği Fakültesi Periodontoloji Anabilim Dalı Bişkek Cad. 82.Sok. 06510 Emek – Ankara
- E-mail: gulay@gazi.edu.tr
- Tel: 312-2034240, 532-2262425
